Skip to main content
MAMMALIAN protein EXPRESSION SERVICES

Mammalian Protein Expression Service

Mammalian Protein Expression Built Around Your Project’s Needs

Contact Us Talk to our Experts

15 business days production
XtenCHO Race: our high-performance proprietary cell line
Scale up to 20L or stable cell line generation

Fast, Flexible Mammalian protein Expression service: Results in as Little as 15 Business Days

15 business daysexpressionTotal scalability:from µg to bioreactorsUp to 20L bioreactorproductionPossible stable cell line generationMultiple Cell linesavailable:XtenCHOTM Race(ProteoGenix’s proprietary cell line)IP-free proteinexression withXtenCHOTM RaceHEK293T and HEK293FEndotoxin free
XtenCHO™ Race the Gold Standard for Complex Protein Expression

XtenCHO™ Race : the Gold Standard for Complex Protein Expression

XtenCHO™ Race protein expression system is ProteoGenix’s proprietary mammalian cell line, developed entirely in-house. It was specifically designed to express complex proteins that require accurate post-translational modifications, which many standard cell lines struggle to reproduce faithfully. Beyond quality, XtenCHO™ Race consistently delivers high protein yields, making it a reliable choice for both research and production scale. And because it is fully IP-free, you can use it without any licensing restrictions or additional costs, keeping your budget under control.

 

Contact our Experts for more Information
 

From Gene to Protein: Flexible Scalable Mammalian Expression

Gene synthesis

  • Gene design
  • sequence optimization
  • gene synthesis
  • subcloning in expression vector for mammalian cells.  

Recombinant expression

  • Plasmid amplification and preparation
  • Transfection of target cells
  • Mammalian cells small scale expression
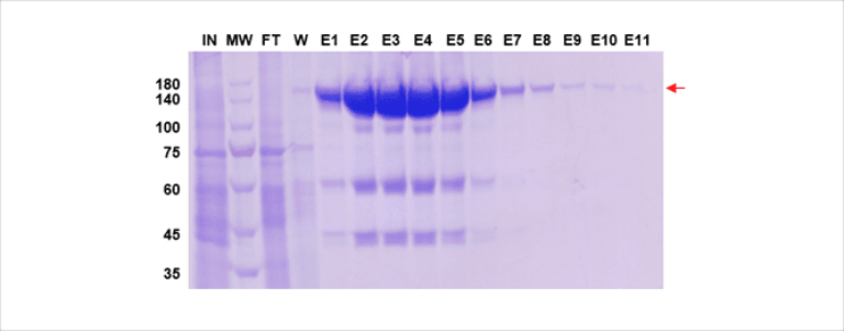
  • Expression evaluation by SDS-PAGE analysis (and Western Blot if required)
  • One-step purification

Recombinant protein QC

  • Qualitative QC by reducing PAGE analysis (Western Blot if required)
  • Purity percentage evaluation
  • Quantitative QC by Bradford or UV280

Talk to our PhD Experts

The Complete Toolkit for end-to-end Protein Development

Discuss your Project with an Expert

Trusted by Scientists Worldwide

I recently chose ProteoGenix to produce a recombinant protein in HEK293 cells. The high productivity and strong activity of the protein obtained, probably due to proper glycosylation and folding, allowed us to generate exciting results in functional studies and reach new milestones in our research project. The quality of the service provided, and the smooth and kind communication I had with the account manager in charge of our project, were paramount to this success. I’m happy to recommend ProteoGenix for recombinant protein productions

Dr Christian BRONNER, PhD principal scientist, CNRS

Browse through 8,500+ recombinant proteins, enzymes, nanodiscs, miscelles and biologics crafted to the highest quality standards

Fast-Delivery: in your lab in 2-3 days

 

Look through our extensive panel of proteins

FAQ

Business people shaking hands in the office. Group of business persons in business meeting. Two entrepreneurs on meeting in board room. Corporate business team on meeting in modern office. Female manager discussing new project with her colleagues. Company owner on a meeting with her employee in her office.

Need a quote or more information? Contact us!

    Cart (0 Items)

    Your cart is currently empty.

    View Products